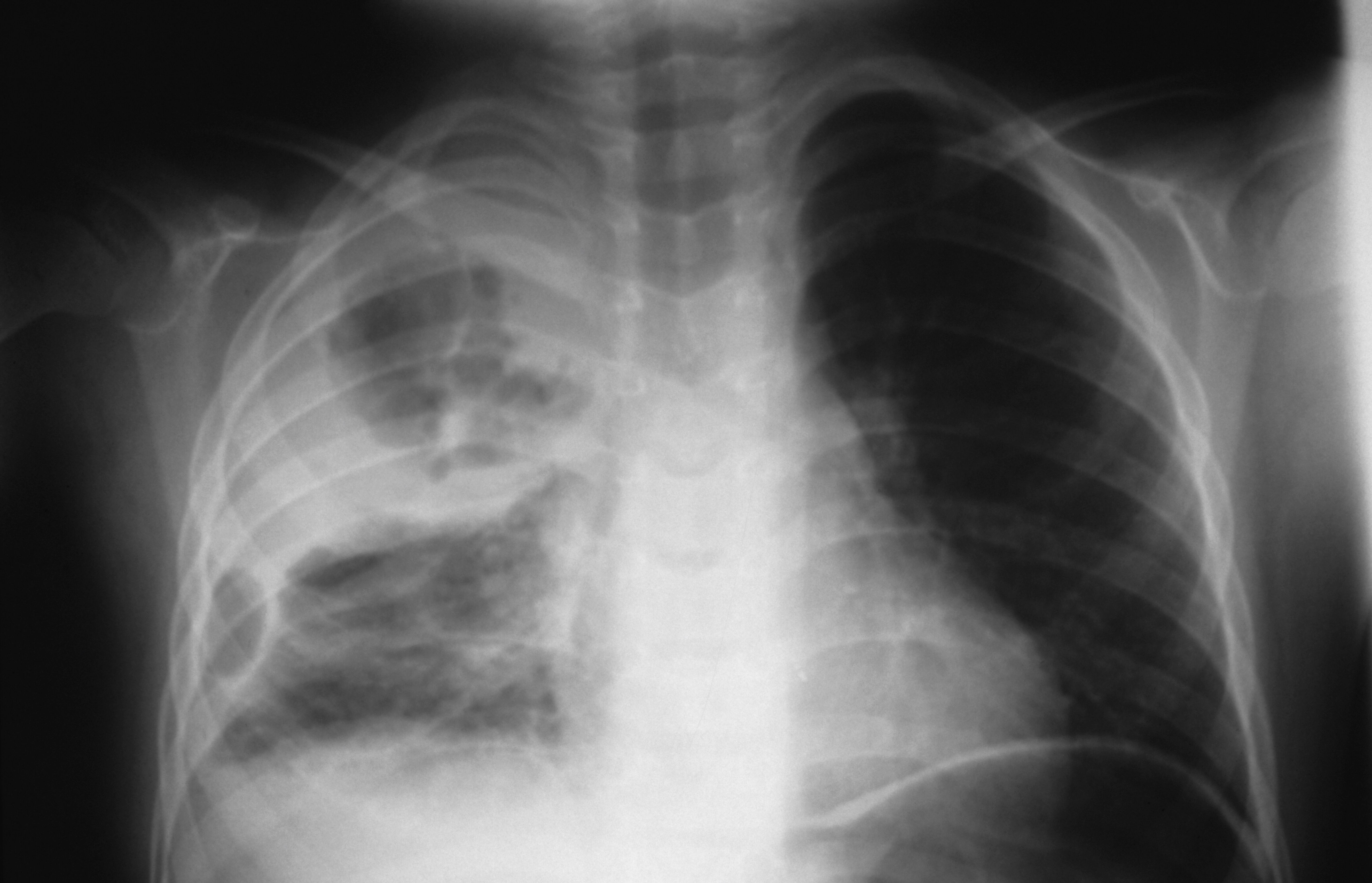
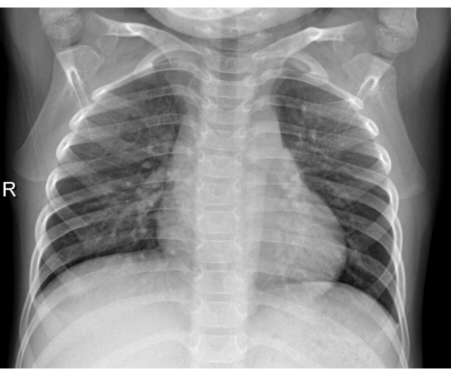
Baby Chest Xray Pneumonia .   chest radiography is the primary imaging study used to confirm the diagnosis of pneumonia.   performing chest radiography on pediatric patients can be for a number of indications 1: Chest radiograph of left upper lobe pneumonia diagnosed by a paediatric pulmonologist in a 12 month old. It is one of the leading causes.  neonatal pneumonia refers to inflammatory changes of the respiratory system caused by neonatal infection.   chest radiographs can show hazy opacities similar to those associated with sdd, coarse irregular opacities similar to those associated with.
        
         
         
        from s-imoni.medium.com 
     
        
        Chest radiograph of left upper lobe pneumonia diagnosed by a paediatric pulmonologist in a 12 month old. It is one of the leading causes.   chest radiography is the primary imaging study used to confirm the diagnosis of pneumonia.  neonatal pneumonia refers to inflammatory changes of the respiratory system caused by neonatal infection.   performing chest radiography on pediatric patients can be for a number of indications 1:   chest radiographs can show hazy opacities similar to those associated with sdd, coarse irregular opacities similar to those associated with.
    
    	
            
	
		 
	 
         
    Detecting Pneumonia in Chest XRays Using Various Deep Neural Nets by 
    Baby Chest Xray Pneumonia    performing chest radiography on pediatric patients can be for a number of indications 1:   performing chest radiography on pediatric patients can be for a number of indications 1:   chest radiographs can show hazy opacities similar to those associated with sdd, coarse irregular opacities similar to those associated with. Chest radiograph of left upper lobe pneumonia diagnosed by a paediatric pulmonologist in a 12 month old. It is one of the leading causes.   chest radiography is the primary imaging study used to confirm the diagnosis of pneumonia.  neonatal pneumonia refers to inflammatory changes of the respiratory system caused by neonatal infection.
            
	
		 
	 
         
 
    
         
        From www.vrogue.co 
                    Bacterial Pneumonia Chest X Ray vrogue.co Baby Chest Xray Pneumonia  Chest radiograph of left upper lobe pneumonia diagnosed by a paediatric pulmonologist in a 12 month old.   chest radiography is the primary imaging study used to confirm the diagnosis of pneumonia. It is one of the leading causes.  neonatal pneumonia refers to inflammatory changes of the respiratory system caused by neonatal infection.   chest radiographs can show hazy. Baby Chest Xray Pneumonia.
     
    
         
        From www.cureus.com 
                    COVID19 vs. Influenza A Chest Xray Comparison Cureus Baby Chest Xray Pneumonia    chest radiographs can show hazy opacities similar to those associated with sdd, coarse irregular opacities similar to those associated with.   chest radiography is the primary imaging study used to confirm the diagnosis of pneumonia. Chest radiograph of left upper lobe pneumonia diagnosed by a paediatric pulmonologist in a 12 month old.   performing chest radiography on pediatric patients. Baby Chest Xray Pneumonia.
     
    
         
        From kersing-0204.blogspot.com 
                    baby chest x ray pneumonia Paroxytone Vodcast Pictures Baby Chest Xray Pneumonia    performing chest radiography on pediatric patients can be for a number of indications 1:  neonatal pneumonia refers to inflammatory changes of the respiratory system caused by neonatal infection.   chest radiography is the primary imaging study used to confirm the diagnosis of pneumonia.   chest radiographs can show hazy opacities similar to those associated with sdd, coarse irregular. Baby Chest Xray Pneumonia.
     
    
         
        From www.youtube.com 
                    Chest XRay Lung Normal Vs Abnormal Image Appearances Part 1 TB Baby Chest Xray Pneumonia    chest radiographs can show hazy opacities similar to those associated with sdd, coarse irregular opacities similar to those associated with. Chest radiograph of left upper lobe pneumonia diagnosed by a paediatric pulmonologist in a 12 month old.   chest radiography is the primary imaging study used to confirm the diagnosis of pneumonia.   performing chest radiography on pediatric patients. Baby Chest Xray Pneumonia.
     
    
         
        From cecrwxfr.blob.core.windows.net 
                    Chest X Ray For Pneumonia Views at Erik Carnahan blog Baby Chest Xray Pneumonia  It is one of the leading causes.   performing chest radiography on pediatric patients can be for a number of indications 1:   chest radiographs can show hazy opacities similar to those associated with sdd, coarse irregular opacities similar to those associated with.  neonatal pneumonia refers to inflammatory changes of the respiratory system caused by neonatal infection.   chest. Baby Chest Xray Pneumonia.
     
    
         
        From ar.inspiredpencil.com 
                    Chest X Ray Bronchitis Vs Pneumonia Baby Chest Xray Pneumonia    performing chest radiography on pediatric patients can be for a number of indications 1: Chest radiograph of left upper lobe pneumonia diagnosed by a paediatric pulmonologist in a 12 month old.  neonatal pneumonia refers to inflammatory changes of the respiratory system caused by neonatal infection.   chest radiographs can show hazy opacities similar to those associated with sdd,. Baby Chest Xray Pneumonia.
     
    
         
        From getrecipes.indopublik-news.com 
                    Baby Chest X Ray Technique Get More Anythink's Baby Chest Xray Pneumonia   neonatal pneumonia refers to inflammatory changes of the respiratory system caused by neonatal infection.   performing chest radiography on pediatric patients can be for a number of indications 1: It is one of the leading causes.   chest radiographs can show hazy opacities similar to those associated with sdd, coarse irregular opacities similar to those associated with.   chest. Baby Chest Xray Pneumonia.
     
    
         
        From www.myxxgirl.com 
                    Baby Chest X Ray Pneumonia Model Babies References My XXX Hot Girl Baby Chest Xray Pneumonia  Chest radiograph of left upper lobe pneumonia diagnosed by a paediatric pulmonologist in a 12 month old. It is one of the leading causes.  neonatal pneumonia refers to inflammatory changes of the respiratory system caused by neonatal infection.   chest radiographs can show hazy opacities similar to those associated with sdd, coarse irregular opacities similar to those associated with.. Baby Chest Xray Pneumonia.
     
    
         
        From kersing-0204.blogspot.com 
                    baby chest x ray pneumonia Paroxytone Vodcast Pictures Baby Chest Xray Pneumonia    chest radiographs can show hazy opacities similar to those associated with sdd, coarse irregular opacities similar to those associated with.   performing chest radiography on pediatric patients can be for a number of indications 1:   chest radiography is the primary imaging study used to confirm the diagnosis of pneumonia.  neonatal pneumonia refers to inflammatory changes of the. Baby Chest Xray Pneumonia.
     
    
         
        From s-imoni.medium.com 
                    Detecting Pneumonia in Chest XRays Using Various Deep Neural Nets by Baby Chest Xray Pneumonia  Chest radiograph of left upper lobe pneumonia diagnosed by a paediatric pulmonologist in a 12 month old. It is one of the leading causes.  neonatal pneumonia refers to inflammatory changes of the respiratory system caused by neonatal infection.   chest radiographs can show hazy opacities similar to those associated with sdd, coarse irregular opacities similar to those associated with.. Baby Chest Xray Pneumonia.
     
    
         
        From getrecipes.indopublik-news.com 
                    Baby Chest X Ray Pneumonia Get More Anythink's Baby Chest Xray Pneumonia    chest radiographs can show hazy opacities similar to those associated with sdd, coarse irregular opacities similar to those associated with. It is one of the leading causes. Chest radiograph of left upper lobe pneumonia diagnosed by a paediatric pulmonologist in a 12 month old.   performing chest radiography on pediatric patients can be for a number of indications 1:. Baby Chest Xray Pneumonia.
     
    
         
        From vivica871.blogspot.com 
                    baby chest x ray pneumonia Gaudy Cyberzine Stills Gallery Baby Chest Xray Pneumonia  Chest radiograph of left upper lobe pneumonia diagnosed by a paediatric pulmonologist in a 12 month old.   performing chest radiography on pediatric patients can be for a number of indications 1: It is one of the leading causes.   chest radiographs can show hazy opacities similar to those associated with sdd, coarse irregular opacities similar to those associated with.. Baby Chest Xray Pneumonia.
     
    
         
        From deepai.org 
                    Classification of pediatric pneumonia using chest Xrays by functional Baby Chest Xray Pneumonia    performing chest radiography on pediatric patients can be for a number of indications 1:  neonatal pneumonia refers to inflammatory changes of the respiratory system caused by neonatal infection.   chest radiographs can show hazy opacities similar to those associated with sdd, coarse irregular opacities similar to those associated with. Chest radiograph of left upper lobe pneumonia diagnosed by. Baby Chest Xray Pneumonia.
     
    
         
        From www.youtube.com 
                    Aspiration pneumonia chest x ray in a child YouTube Baby Chest Xray Pneumonia    chest radiographs can show hazy opacities similar to those associated with sdd, coarse irregular opacities similar to those associated with.   performing chest radiography on pediatric patients can be for a number of indications 1: It is one of the leading causes.   chest radiography is the primary imaging study used to confirm the diagnosis of pneumonia.  neonatal. Baby Chest Xray Pneumonia.
     
    
         
        From vivica871.blogspot.com 
                    baby chest x ray pneumonia Gaudy Cyberzine Stills Gallery Baby Chest Xray Pneumonia    performing chest radiography on pediatric patients can be for a number of indications 1:   chest radiographs can show hazy opacities similar to those associated with sdd, coarse irregular opacities similar to those associated with.   chest radiography is the primary imaging study used to confirm the diagnosis of pneumonia.  neonatal pneumonia refers to inflammatory changes of the. Baby Chest Xray Pneumonia.
     
    
         
        From kersing-0204.blogspot.com 
                    baby chest x ray pneumonia Paroxytone Vodcast Pictures Baby Chest Xray Pneumonia    chest radiography is the primary imaging study used to confirm the diagnosis of pneumonia.   performing chest radiography on pediatric patients can be for a number of indications 1: It is one of the leading causes.  neonatal pneumonia refers to inflammatory changes of the respiratory system caused by neonatal infection. Chest radiograph of left upper lobe pneumonia diagnosed. Baby Chest Xray Pneumonia.
     
    
         
        From www.vrogue.co 
                    Chest X Ray Pneumonia Classification Freelancer vrogue.co Baby Chest Xray Pneumonia   neonatal pneumonia refers to inflammatory changes of the respiratory system caused by neonatal infection.   chest radiography is the primary imaging study used to confirm the diagnosis of pneumonia. Chest radiograph of left upper lobe pneumonia diagnosed by a paediatric pulmonologist in a 12 month old.   chest radiographs can show hazy opacities similar to those associated with sdd,. Baby Chest Xray Pneumonia.
     
    
         
        From radiologyassistant.nl 
                    The Radiology Assistant Neonatal Chest XRay Baby Chest Xray Pneumonia    chest radiography is the primary imaging study used to confirm the diagnosis of pneumonia. It is one of the leading causes.  neonatal pneumonia refers to inflammatory changes of the respiratory system caused by neonatal infection.   chest radiographs can show hazy opacities similar to those associated with sdd, coarse irregular opacities similar to those associated with.   performing. Baby Chest Xray Pneumonia.